热线电话:0755-23226700

产品展示

products

新闻中心

news

EMA 抗体试剂(免疫组织化学)

EMA 抗体试剂(免疫组织化学)

   抗体类型:单鼠抗。

   储存方法:2℃-8℃储存,有效期18个月。

   阳性对照:扁桃体、乳腺

   阳性部位:胞膜/胞浆
   预处理:高pH 热修复

   适用:石蜡切片/冰冻切片


0.00
0.00
  
基本信息

   抗体类型:单鼠抗。

   储存方法:2℃-8℃储存,有效期18个月。

   阳性对照:扁桃体、乳腺

   阳性部位:胞膜/胞浆
   预处理:高pH 热修复

   适用:石蜡切片/冰冻切片



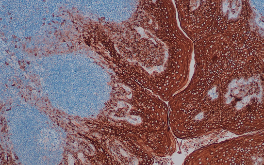
EMA  是一种分子量为400kDa 的跨膜糖蛋白,广泛分布于上皮细胞及 其来源的肿瘤。该抗体可标记大部分正常上皮及其来源的肿瘤,在95%的 大细胞间变性淋巴瘤中也呈阳性表达。EMA  可用于鉴别:间皮瘤与腺癌;皮 肤鳞状细胞癌与基底细胞癌; ALK 阳性的大细胞间变性淋巴瘤与其他类型 淋巴瘤。


   扁桃体鳞状上皮EMA 表达

   用EMA(HD010C03)染色

   胞膜/胞浆阳性

   DAB显色

             0755-23226700


地址:深圳市宝安区西乡街道盐田社区银田工业区36栋合欢商业中心601


  • 标题
  • 内容
提交
给我们留言